某某生物医疗有限公司
微创种植        美学正畸        美齿修复        儿童口腔        牙周项目        综合治疗

至美口腔创立于2008年, 始终坚持 "全心全意服务民众 ”的宗旨,以“亲民的价格,先进的技术,最前沿的高精尖设备,安全舒适的医疗环境”为创院理念, 不断引进新的口腔医疗连锁管理理念及培训机制,高品质个性化服务受到社会各界的广泛赞誉与认可 !

你知道吗?


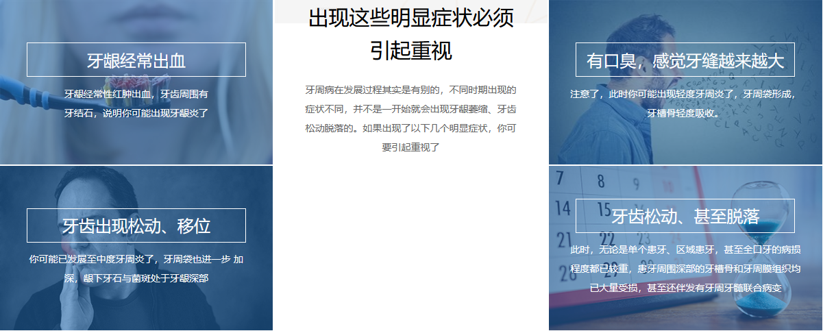
蛀牙是一颗一颗的掉牙齿,而牙周病那可是一排一排的掉牙齿。牙周健康对于口腔来说是至关重要的,一旦牙周遭遇病变,轻者将会出现牙龈发炎、出血、疼痛、口臭等,重者牙周组织会被破坏,使牙齿与牙龈分离,甚至导致牙齿脱落。

据全国口腔健康流行病学调查数据显示: 我国成人中缺牙问题日益年轻化,而且45%牙齿脱落是由牙周病引起的!

1. 成年人牙周病的患病率高达85%;

2. 中老年人牙周健康率低于20%;

3. 35-44岁的成年人群中,牙龈出血比例高达77.3%

4. 缺牙的人群中,45%是由于牙周病引起的!

适应症

Implant indication

类型选择

Implant selection

  • 超声波洁牙
  • 龈下洁治
  • 牙周基础治疗
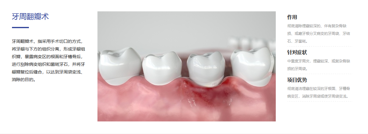
  • 牙周翻瓣术





特色牙周治疗

frontier technology

便捷

简单

微创

专业

一站式全口洁治,杜绝过度治疗,做到治疗彻底,不遗漏
多名资深牙周专家领衔坐诊,掌握先进、严谨的牙周治疗技术
专业的设备配合专业的技术,去除病变区更容易
创口小,出血极低,牙周组织容易愈合,避免感染.

至美牙周治疗专家

EXPERT

  • 牙周治疗牙周病后会复发吗?
  • 已经牙齿松动的人还能接受牙周治疗吗?
  • 牙周治疗项目适合于所有牙周病患者吗?
  • 牙周疾病是什么?有什么危害?

牙周治疗后,患者不好好合作维护,牙周病还是会发生的。不过在我们至美口腔牙周治疗科,有一套严格的治疗后维护和质控体系,包括了治疗前、中、后都有相应的维护注意事项的电话提醒,只要患者律己合作治疗,遵循牙周治疗科医师的医嘱及电话的温馨提醒,一般不会出现牙周炎反复的情况。

品质承诺

优良品质,良心保证

价格承诺

线上线下同价,杜绝深度开发

服务承诺

服务为本,客户至上